关注我们


寰枢椎脱位是指 C1~2 脱离正常的对合关系,可因创伤、先天畸形、炎症或手术等造成,临床表现为枕颈交界区疼痛、活动受限,严重者还可导致神经功能受损、四肢瘫痪甚至死亡。寰枢椎的解剖结构复杂,周围有诸多重要的神经和血管,临床治疗一直非常棘手。其中,难复性寰枢椎脱位患者往往伴随着不同程度的脊髓损伤症状或体征,故手术治疗难度大、风险高,一直都被称为脊柱外科手术的高危禁区。近日脊柱外科昌耘冰、郑晓青团队成功为一名难复性寰枢椎关节脱位患者实施了内镜辅助下颈椎前入路经口咽入路松解,联合后入路螺钉滑脱复位内固定治疗方案,术后患者恢复良好。
患者王先生(化名)9年前因外伤出现枢椎齿状突骨折,一直畏于手术风险不敢处理,近日来的一次跌倒后出现了高位颈脊髓损伤,伴有严重的神经症状。辗转咨询多家医院后,选择了在寰椎领域造诣、研究深入的昌耘冰教授。

内镜下寰枢关节松解、瘢痕切除
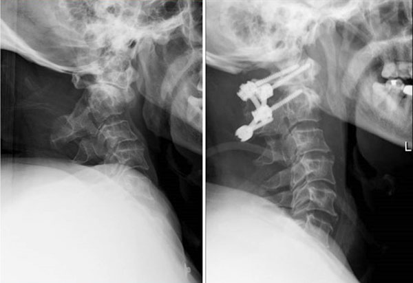
寰枢椎处于颅颈交接区,是连接生命中枢的要塞,过去国内外多建议采用前后入路联合手术治疗,但传统的经口咽入路创伤大、易感染、并发症多,给患者及家属带来巨大的痛苦。随着现代医学技术的不断发展,在以内镜技术为代表的技术辅助下,难复性寰枢椎脱位的手术方案国内外虽有报道,但大多局限于零星病例的尝试。本次内镜辅助下经口咽入路进行前路松解,使原需广泛显露的手术切口简单化,内镜下的操作更为精细、安全、快捷。团队陈崇、叶勇裕医师通过组织耳鼻喉科、麻醉科、重症医学科、口腔科、营养科等多学科会诊、讨论后,手术如期执行,在神经电生理王良泽医师的监护下,首先行麻醉下牵引,仍然无法复位。郑晓青副主任医师具备多年的内镜操作经验,仅20分钟就完成内镜下的寰枢关节松解、复位,再通过后路螺钉的提拉,滑脱的寰椎成功“解剖”复位。

术前术后X对比

术前术后CT对比
该手术是我院脊柱内镜在颈椎前路,尤其是上颈椎手术松解的首次尝试,代表在该领域的又一次突破,追求微创、造福人民、实现人民医院的责任担当。
脊柱外科 陈崇、叶勇裕