关注我们


2022年4月1日,我院口腔颌面外科朱李军主任团队成功自主开展经口前-颞颌颈入路完整切除侧颅底肿物,打破了口腔颌面外科医生在侧颅底的禁锢,开辟了我院颌面外科此类手术的先河。该项技术的开展标志着我院口腔颌面外科在颅颌面外科手术上的成熟。
侧颅底区指眶下裂和岩枕裂延长线交角的颅底三角区,其下区包括鼻咽部、鼻旁窦、翼腭窝、颞下窝等解剖区域,这些区域位置隐蔽深在,因此原发于或侵犯该区域的肿瘤早期常难以发现,临床出现症状时体积往往已较大。此外该区的肿瘤常向上侵犯颅底甚至进入颅内,且此区域骨性结构多,重要血管神经组织丰富,手术难度较大。
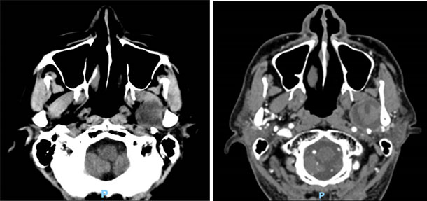
接受手术的是一名65岁男性患者,因“走路时偶有头晕”到某医院就诊,头颅CT检查结果示:左侧咽旁颅底占位性病变。得知病严重,遂来我院求治。入院完善相关检验检查后,科室主任朱李军主任主持口腔颌面外科专家对拟行手术方案予以充分的论证。肿瘤占位于左侧侧颅底肿物位于翼外肌肉深面,与颈内静脉、面神经总干解剖毗邻,肿物位置深在。口腔颌面外科计划口前-下颌颈入路,于下颌骨体部截断下颌骨,截断其周围肌肉附丽以显露肿物。

术前CT检查
按术前既定手术方案,由朱李军主任团队主刀,在麻醉及护理团队的通力合作下,顺利完成侧颅底肿物切除术,术中出血仅50ml,术后患者无面瘫、无偏瘫、无脑脊液漏,无口颌功能障碍。
随着重建、影像学诊断以及术后护理等医疗技术的进步,颅颌联合切除手术的适应症已经扩展了很多。现在颅颌面联合切除术为原发于颞下窝、翼腭窝、上颌窦等部位并侵及前中颅底的恶性肿瘤患者提供了手术机会,且为颅底的晚期领面部恶性肿瘤提供也可根治,解决了单纯颅外扩大手术难以根治或整块切除的困难及术后复发率高的难题。本次成功切除侧颅底肿物彰显了我院口腔颌面外科手术达到国内领先水平。
口腔颌面外科 姜翀