关注我们


当孩子出现走路不稳、反应迟钝、反复呕吐等症状,家长们一定要警惕起来,这背后可能是脑肿瘤在作祟。
最近,两岁的天天(化名)与同龄孩子相比行为异常,反应明显迟钝,走路不稳,伴有左侧肢体活动减少,还反复呕吐。家长决定带天天前往广东省人民医院(以下简称“省医”)就医。
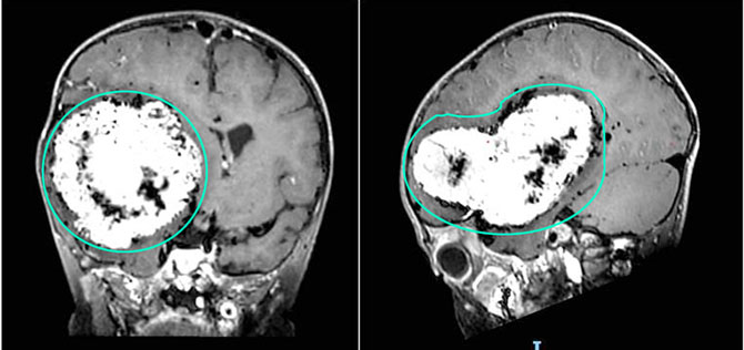
“经头部MR增强检查发现,孩子右侧大脑半球存在一巨大颅内占位,肿瘤直径约10cm,占据三分之一至四分之一的大脑空间。”省医神经外科主任医师周东意识到,这严重压迫周围正常脑组织,病情十分危急,需尽快手术切除。

两岁孩子颅内长巨大肿瘤
广东医生攻克难关精准“拆弹”
摆在周东面前的,是亟待救治的患儿,也是此类幼儿颅内肿瘤手术带来的挑战性。“一方面,患儿年龄小、体重轻,麻醉及手术耐受性差;另一方面,肿瘤体积巨大、血供异常丰富,术中极易发生大出血及血流动力学不稳定。”他介绍道。
经过术前的专业评估与充分准备,周东团队决定合力攻克手术难关。术中发现,肿瘤与重要功能区及大血管关系密切,进一步增加全切难度。加上肿瘤供血丰富,在切除的过程中天天出现了短时间的低血压,麻醉团队迅速调整用药并加强生命体征监测。

在团队的通力合作下,肿瘤被完整切除,切除组织大小约13×7×4厘米,家长悬着的心终于落地。术后天天恢复良好,意识状态逐渐改善,可自主进食,右侧肢体肌力逐步恢复。术后一周,天天便能在搀扶下站立,且未出现新发神经功能障碍。
切除巨大肿瘤后,会影响孩子后期的大脑发育吗?“复查头部MR显示肿瘤全切,周围脑组织受压解除,脑中线结构复位。”周东解释称,天天的肿瘤属于脑膜瘤,脑膜瘤是长在脑组织外面的独立肿瘤,非浸润性生长。因此,肿瘤切除后,脑组织会很快恢复弹性,填充到肿瘤缺失的部位,反而对大脑功能起到恢复和促进作用。
这些症状容易被误诊
早发现、早治疗是关键
“儿童脑肿瘤的发病率占儿童全身肿瘤的20%,仅次于白血病。”周东提到,作为较为常见的儿童肿瘤,脑肿瘤往往存在延误就诊的情况,原因在于学龄前儿童的脑肿瘤症状与其他儿童常见疾病的症状相似,例如呕吐易与多种消化道疾病相混淆、视力下降易被学龄期近视、斜视所掩盖等。
“早期发现、早期治疗是改善预后的关键。”他提醒,婴幼儿如出现不明原因呕吐、精神差、行走不稳、头痛、视力下降或视野缺损、头围异常增大等症状,家长需警惕颅内病变可能,应及时就医并进行头颅影像学检查。
据悉,省医近年来完成了多例婴幼儿巨大颅内肿瘤切除术,建立了包括神经外科、麻醉科、儿科ICU、普儿科、康复科及病理科等在内的多学科协作模式,不断提升手术成功率与患儿生存质量。
来源:广东卫生在线