关注我们


近日,广东省人民医院神经外科成功为一名两岁患儿实施巨大颅内肿瘤切除手术。该肿瘤直径约10厘米,已严重压迫脑组织,威胁患儿生命。所幸,手术后患儿恢复良好,术后一周已能在搀扶下站立。

幼儿颅内手术难度极高
广东省人民医院神经外科主任医师周东介绍,患儿就诊时精神萎靡、行走不稳,并伴有左侧肢体活动减少。“家长说孩子近期反应明显迟钝,还反复呕吐。这些症状引起了我们的警惕,马上安排入院。”周东说。
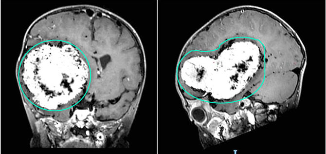
经头部MR增强检查,发现患儿右侧大脑半球有一个巨大的肿瘤,直径约10厘米,严重压迫周围正常脑组织,病情十分危急。
为了挽救这位小患者的生命,周东团队决定立即实施手术。不过,此类幼儿颅内肿瘤手术极具挑战性:一方面,患儿年龄小、体重轻,麻醉及手术耐受性差;另一方面,肿瘤体积巨大、血供异常丰富,术中极易发生大出血及血流动力学不稳定。
术中,周东团队发现,肿瘤与重要功能区及大血管关系密切,进一步增加了全切难度,术中患儿的血压还突然降低,麻醉团队迅速调整用药并加强生命体征监测,保障手术顺利实施。
在团队的通力合作下,肿瘤最终被完整切除,切除组织大小约13×7×4厘米,病理显示这是一个脑膜瘤。
“术后孩子恢复得很好,最近已经能上蹿下跳了。”周东介绍,术后患儿意识状态逐渐改善,可自主进食,右侧肢体肌力逐步恢复,未出现新发神经功能障碍。复查显示肿瘤全切,周围脑组织受压解除,脑中线结构复位。

出现这些症状要警惕颅内肿瘤
常见的儿童脑瘤类型有星形细胞瘤、髓母细胞瘤、颅咽管瘤等,但这些疾病的症状一般不明显,而且许多症状与其他小儿疾病表现相似,因此很容易误诊或被家长忽视。
广东省人民医院神经外科医学博士阿拉法特·瓦哈甫介绍,儿童颅内肿瘤的常见表现包括突然呕吐,尤其是早上起来喷射性地呕吐,而且与饮食无关;头痛;看东西模糊;头围长得特别快。这些症状都需要家长警惕。此外,若孩子发育比同龄人慢,个子矮小;走路不稳、脖子发硬,或者突然抽筋,也可能是颅内肿瘤的信号。
“出现这些征兆,建议尽快带孩子到医院做个头颅CT或磁共振。万一是颅内肿瘤,及早发现,处理起来主动权就大得多。”周东介绍,如今儿童肿瘤手术已经成熟,大部分为常规手术,风险基本可控。广东省人民医院已建立多学科协作模式,整合神经外科、麻醉科、儿科ICU等科室,提升婴幼儿颅内肿瘤手术成功率。
在上述案例中,患儿有机会完全康复。周东说:“除了像脑干胶质瘤这样恶性程度高的肿瘤以外,大部分孩子在肿瘤切除手术后都能恢复得不错,不少能回到正常生活。”
来源:南方+