关注我们


两岁幼儿走路不稳、反应迟钝、反复呕吐——这是正常的成长现象,还是肠胃脆弱的表现?看似常见的症状背后,竟隐藏着一个10多厘米的颅内巨大肿瘤。
近日,广东省人民医院神经外科周东教授收治了一名辗转多家医院后来到省医就诊的脑膜瘤患者小初(化名)。小初今年两岁,最近总是精神萎靡、走路不稳,手脚的运动能力也比较差,并伴有左侧肢体活动减少。家长表示孩子近期反应明显迟钝,与同龄儿童相比行为异常,还反复呕吐。经头部MR增强检查,发现右侧大脑半球存在一巨大颅内占位,肿瘤直径约10厘米,严重压迫周围正常脑组织,病情十分危急。为了挽救这位小患者的生命,广东省人民医院周东主任团队立即决定实施手术,以期彻底切除肿瘤。

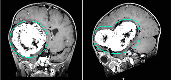
术前影像资料可见右侧大脑半球巨大肿瘤占位。
据周东教授介绍,目前非良性脑瘤对于放疗并不敏感,手术是最佳治疗方式。而且由于涉及生长发育问题,三岁以下儿童是无法接受放疗的。然而,此类幼儿颅内肿瘤手术也是极具挑战性的:一方面,患儿年龄小、体重轻,麻醉及手术耐受性差;另一方面,肿瘤体积巨大、血供异常丰富,术中极易发生大出血及血流动力学不稳定。
周东教授团队在手术中发现,肿瘤与重要功能区及大血管关系密切,进一步增加了全切难度,加上小初在手术中还出现了短时间的低血压,再度提升手术难度。麻醉团队迎难而上,秉持“救治至上,确保万无一失”的精神,迅速调整用药并加强生命体征监测,为手术顺利实施提供了坚实保障。

周东教授团队及多学科团队合作手术。
在团队的通力合作下,肿瘤最终被完整切除,切除组织大小约13×7×4厘米。术后患儿恢复良好,意识状态逐渐改善,可自主进食,右侧肢体肌力逐步恢复,术后一周已能在搀扶下站立,未出现新发神经功能障碍。复查头部MR显示肿瘤全切,周围脑组织受压解除,脑中线结构复位。在近期的一次复查中,小初已经可以像正常孩子一样跑跑跳跳了。

肿瘤被完整切除,切除组织大小约13×7×4厘米。
周东教授表示,脑膜瘤是长在脑组织外面的独立肿瘤。肿瘤切除后,脑组织会很快恢复弹性,填充到曾经被肿瘤占据的空间里。也就是说,手术并不会影响孩子的大脑发育,反而对大脑的功能起到了很好的促进和恢复作用。神经外科阿拉法特·瓦哈甫医生表示,在术后管理方面,小初的脑肿瘤属于二级,恶性程度比较低,但并不排除手术后复发或转移的风险,因此术后也要坚持复查。除了部分恶性肿瘤、脑干胶质瘤,儿童肿瘤术后预期大部分还不错,有些可以完全恢复到正常儿童表现。

术后影像资料显示肿瘤全切。
据了解,儿童脑肿瘤的发病率占儿童全身肿瘤的20%,仅次于白血病。每百万名儿童中,大约有30余名脑肿瘤患儿。广东省人民医院小儿神经外科团队建立了包括神经外科、麻醉科、儿科ICU、普儿科、康复科及病理科等在内的多学科协作模式,显著提高了手术成功率与患儿生存质量。
周东教授提醒,儿童脑肿瘤的症状与其他儿童常见疾病的症状非常容易混淆:婴幼儿如出现不明原因呕吐、精神差、行走不稳、头痛、头围异常增大、发育倒退等症状,家长需警惕颅内病变可能,应及时就医并进行头颅影像学检查。早期发现、早期治疗是改善预后的关键。
来源:南都N视频APP · 健闻