关注我们


2021年10月26日早上8:10,急诊重症监护室(EICU)医生办公室正在进行晨会交班,突然值班护士紧急报告,6床患者病情加重。这是一例前一天收治的31岁年轻男性危重患者,入院诊断考虑“重症肺炎,Ⅰ型呼吸衰竭,肾上腺恶性肿瘤”。经抗感染治疗后,高参数无创通气维持下,呼吸困难仍进行性加重,频率最高达50余次/分,患者烦躁,血氧饱和度进行性下降。
江稳强主任立即带领EICU医护人员床边查看和组织抢救,迅速气管插管行有创机械通气,血氧饱和度有所回升,但患者呼吸窘迫仍持续不缓解,复查CT提示肺部渗出较之前一日明显增多,呈“大白肺”表现,患者生命垂危。

患者CT影像显示肺部渗出严重,呈“大白肺”
该患者8个月前诊断肾上腺恶性肿瘤后,便走上了抗癌之路,辗转在广州各大医院寻医问药,穿刺活检、肿瘤介入栓塞、化疗和免疫治疗等治疗方法逐一应用,五天前突发高热、胸痛、咳嗽气促等症状,外院诊断为肺部感染,但是无法排除肺栓塞的可能,于是将患者转送至我院。急诊抢救室接收到此患者,情况危急,立即予床边血气检查,提示Ⅰ型呼吸衰竭,给予无创呼吸机辅助通气、抗感染等治疗后转入EICU。
面对这位特殊的年轻患者,所有人都全力以赴,以期扭转乾坤。基于呼吸衰竭、肺部感染、恶性肿瘤介入栓塞后等诊断,入院后机械通气、抗感染等治疗效果不佳、病情进展迅速等特点。学科带头人李欣副院长和胡北主任组织科内讨论认为,该患者的感染指标、病原学检查结果与症状及肺部CT表现不相符合,结合患者免疫治疗用药史,考虑重度免疫检查点抑制剂相关性肺炎可能性大,危重度分级达到最高级4级,病情异常凶险。
病因既明,当机立断,立即在强有力的呼吸功能支持下,同时给予大剂量激素和静脉丙种球蛋白冲击治疗。经过三天的冲击治疗,患者感染指标明显下降,双肺呼吸啰音无明显干湿啰音,体温降至正常,复查CT见渗出液明显吸收减少,也证明了李欣副院长对于病情的判断非常精准及时。在江稳强主任的指导下,根据病情实时调整患者的治疗方案,并于10月31日成功脱机拔管,改为鼻导管给氧,患者生命体征、精神状态、精神、睡眠恢复良好,住院治疗8天后康复出院。

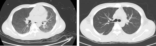
对因治疗后,患者肺部病灶逐渐吸收减少

系统治疗后,患者身体状况逐渐恢复正常
随着肿瘤患者越来越多,免疫治疗方案使用越来越多,免疫检查点抑制剂相关性肺炎也逐年增加,给临床的诊治也带来愈来愈多的挑战。然而此病缺乏特异的临床症状和影像学表现,诊断困难,重症患者病死率高。早期如果误认为是重症感染,会耽误病因治疗的关键时间窗,可能进展为不可逆的肺纤维化,肺功能难以恢复;如果是重症感染而行大剂量激素冲击治疗,则会导致感染播散甚至造成不可挽回的后果。因此,针对此类患者,如果不能尽早识别干预,患者随时都有生命危险。李欣副院长和江稳强主任带领的EICU团队,早已着手研究重症感染与淋巴细胞免疫检查点的关系,并将相关研究成果发表在Critical Care等行业高水平期刊,为相关疾病的诊治提供了宝贵的知识和技术贮备。
见微知著,弥患于未萌,是为上工,作为急诊科医生,面对急诊危重症患者,早期诊断、早期治疗、既病防变至关重要,也是保障患者生命安全的第一道防线,通过预见性的措施将危险扼杀于摇篮之中,从而保障患者生命安全,这亦是急诊重症监护室全体医护人员的不懈追求。

文_王文鹏、徐慧,图_江稳强、丁洪光